成人矯正について
大人の方の矯正に関しては、患者さまご自身からの希望がほとんどです。
矯正が必要なケースは以下の通りです。
- 叢生(歯が歯列からはみ出したり重なり合ってしまったりしている場合)
- 開咬(前歯が噛みあわないような場合)など
矯正治療で気を付けること
固定装置を付ける場合はきちんと装着をすることが最も大切です。治療の途中で親不知が出てきた場合には、抜歯などの処置も必要になります。
ブラケットを装着している方は、小さめの歯ブラシを使用し、力を入れずにこまめに磨いていただければと思います。
小児矯正について
小児では、ご両親からのご希望があれば矯正を開始するという流れになります。
矯正が必要なケースは以下の通りです。
- 歯の生えてくるスペースが少ない
- 歯並びが明らかに悪い場合
矯正治療で得られる健康面のメリット
歯並びが良くなることで、ブラッシングしやすくなりケアも楽になります。結果的に虫歯を発生させるリスクも減らせます。また、口を閉じやすくなるので、口呼吸ではなく鼻呼吸をするようになるなどの改善もみられます。
お子さまの歯並びを悪くしてしまう原因
- 唇を
- 指をしゃぶる
- 口呼吸
- 爪を噛む
などが挙げられます。これらが、開咬、顎変形のリスクを引き起こします。
お子さまの矯正を始める時期…犬歯が生え始めの頃に始めるのが一般的です。
お子さまの矯正を始めるご両親へのアドバイス
唇を噛んだり、指をしゃぶったりするのはお子さまの発育時期には誰しもがある癖です。
しかし、その癖をそのままにしてしまうと、歯への影響が出ないとも限りません。
お子さまの歯並びに関して、お悩みがありましたらどうぞお気軽にご来院ください。
矯正治療でよくある質問
いつから始めますか?
小児の場合では、「犬歯が萌出し始める頃」をひとつの目安としています。それよりも前に
歯並びが悪く生えてしまっている場合は、その部分を治す場合もあります。
矯正にはどれくらいかかりますか?
乳歯の場合は永久歯列まで診ていく必要があるので、始めた年齢から中学校くらいまでを
ひとつの目安としています。5年くらいかかる方が多いです。
マウスピース型矯正治療について
歯並びが気になる方が歯列矯正を検討されている理由として、
◎矯正装置をつけると目立つのが心配
◎調整の度に費用がかかり、総額が気になる。
◎期間が長い
というお悩みを良く聞きます。
上記のようなお悩みの方にはマウスピース矯正をご案内しています。
裏側矯正とマウスピース矯正の違い
裏側矯正は、ワイヤーを使って舌側に行う矯正です。
矯正装置が見えづらいので、人目を気にすることなく矯正を行うことができます。また、対応範囲が広く、歯を大きく動かすこともできるのが魅力です。デメリットとしては、自分で取り外しができないことと、使用する素材によっては金属アレルギーに注意することなどがあげられます。
マウスピース矯正は、マウスピース式の矯正装置を装着して行う矯正です。マウスピースの形を少しずつ変えていきながら歯並びを矯正していきます。
ワイヤーを使用していない手軽さと、装置の着脱が可能なこと、きれいに歯磨きをすることができるのが魅力です。ただし、装着時間を自分で管理する必要があり、場合によっては治療時間が伸びてしまうこともあります。また、歯を大きく動かす場合など、状況によっては治療適用とならない場合もあります。
アソアライナーとは
マウスピース型の透明な矯正装置です。約1ヶ月ごとに型をとり、厚みの違う3種類のマウスピースを段階的に使用して矯正していきます。
透明なので見た目が気になりにくく、目立ちやすい前歯の部分矯正に向いています。マウスピース型なので、ブラケットのような異物感や痛みはほとんどありません。また、食事や歯磨きの際に簡単に取り外しができ、口腔内を衛生に保つことができます。
段階ごとに型を取り直すので、矯正治療中にむし歯などの治療を行うことも可能です。また、日本で専門の技工士が製作しているので、製作期間も短く、安全性の面でも安心です。
アソアライナーの適応症例

アソアライナーとインビザラインの違い
どちらもマウスピース型矯正のため、装置が見えにくく、取り外しが便利で衛生的だという特徴を持っています。そのほかにも、アソアライナーには以下のような特徴があります。
| アソアライナーの特徴 | メリット・デメリット |
|---|---|
| 最初にすべての装置を作製しない | ・治療が早く終了すれば、費用の負担が少なくなる |
| プレートを3段階で変える(インビザラインは最初のみ) | ・矯正力が優しいので痛みが出にくい ・治療中にむし歯の治療をしても費用や時間がかからない ・新しいプレートを作製するたびに歯型をとる必要がある |
| 歯にアタッチメントをつけない | ・歯の傾きや回転などの細かい調整が難しい |
アソアライナーの治療の流れ
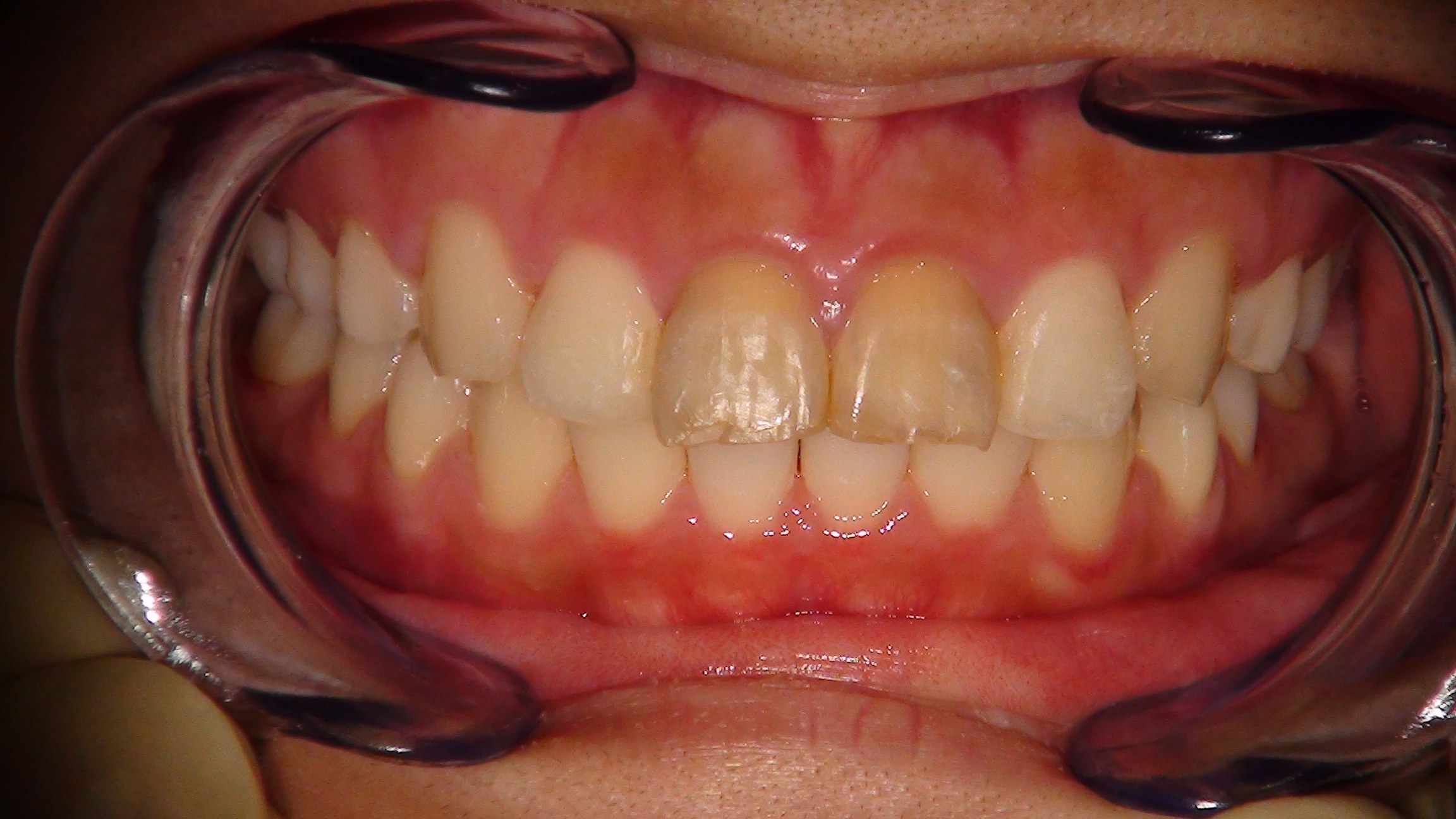
インプラント(ミニスクリュー)矯正について
インプラント矯正とは
歯科矯正用の小さなスクリュー(ねじ)を歯茎の骨に埋入して、歯を動かすときの固定源として用いる方法です。ねじ自体は直径1.4~2mm前後、長さは6~10mmです。
インプラント矯正は、失った歯の代わりに入れる「インプラント」とは異なります。インプラント矯正の場合は、矯正治療が終わって必要なくなったら埋め込んだねじは抜きますので、ご安心ください。
インプラント矯正のメリット
1. 歯を大きく動かすことができる
インプラント矯正はねじを埋め込むので、強固な固定源を得ることができます。
そのため、従来のようにヘッドギアなどを使用することなく、前歯を大きく動かすことができます。
2. 治療時間が短縮される
従来の方法だと、複数の歯を動かす際には、2段階の移動が必要なケースもありました。しかし、インプラント矯正の場合はまとめて移動することが可能なので、治療時間を短縮することができます。
3. 抜歯をしなくて済む
これまで、奥歯は動かすのが難しいため、抜歯が必要でした。しかし、インプラント矯正では奥歯を動かすことも可能なので、抜歯をしなくても済む可能性が高くなりました。
4. 大臼歯や前歯の圧下が可能
インプラント矯正では、これまで困難だった圧下(歯を骨の中に沈めるように動かす)が可能となり、自然な笑顔や開咬の改善もできるようになりました。
5. 外科矯正をしなくても済む、もしくは負担が少なくなる
これまで外科的な矯正治療が必要だった上顎前突や下顎前突、開咬などへ適応することができるので、外科矯正や手術を回避することが可能になりました。あるいは、外科手術が必要な場合でも、患者さまへの負担が軽減されます。
インプラント矯正の流れ
レントゲンなどの資料から、固定源となるねじの埋入部位や埋入方向の検討を行います。
消毒の後、麻酔を入れていきます。
ねじを入れる際の感覚を失わないよう、麻酔は少量にとどめています。
通常は切開せず、ドライバーでねじを入れていきます。
出血はほとんどしません。ただし、抵抗が強い場合はドリルを使って入れていく場合もあります。
しっかり埋入されたことを確認し、消毒を行います。
状態を見て、すぐに矯正をかけるか一定期間おくかを判断します。
抗生物質や鎮痛剤を処方します。また、清掃などの指導も行います。










